×

    更全面更优惠更优质的全国细胞资源平台


    热销细胞: THP-1 RAW264.7 HSF THLE-2
    当前位置:首页  >>  产品展示

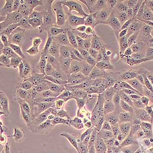
    MIMCD3 小鼠肾髓质化细胞

    货号:

    规格:1×10^6cells/T25或1mL冻存管

    形态:上皮细胞样,贴壁生长

    培养基:DMEM+10%FBS+1%P/S

    货期:一周左右

    价格:

    链接:http://www.quicell.com/ProDetail.aspx?ProId=617

    一键复制产品信息
    • 说明书
    • 产品详情
    • 参考文献
    mlMCD-3细胞培养说明书_20250608102618.pdf